CASE

症例

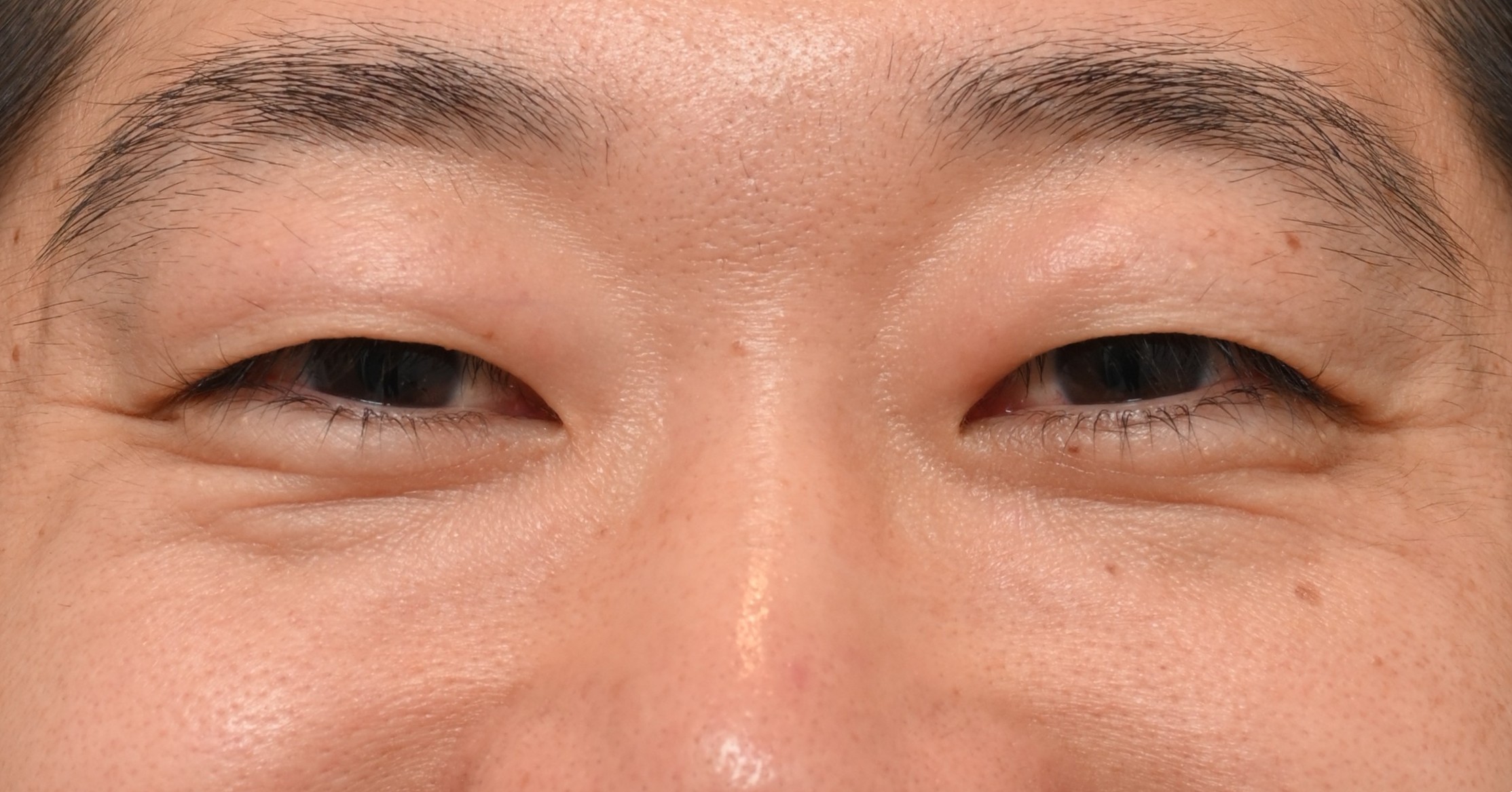
  • before

    BEFORE

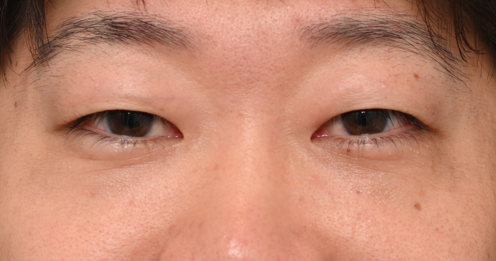
    after

    AFTER

  • before

    BEFORE

    after

    AFTER

裏ハムラ法

費用
¥484000
年齢/性別
20代 男性
担当医
中村先生

術前↔︎3ヶ月後

ハムラ法/裏ハムラ法

施術概要
目の下の膨らみ(baggy eyelids)を利用して凹み(tear trough)を均す治療です。
リスク・副作用
腫れ/赤み/内出血/感染/内反/外反/傷跡 など