-

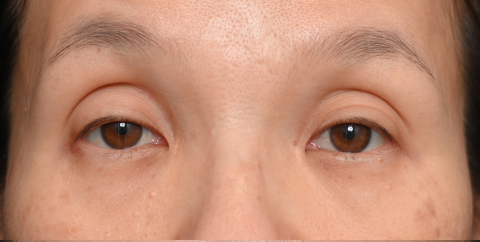
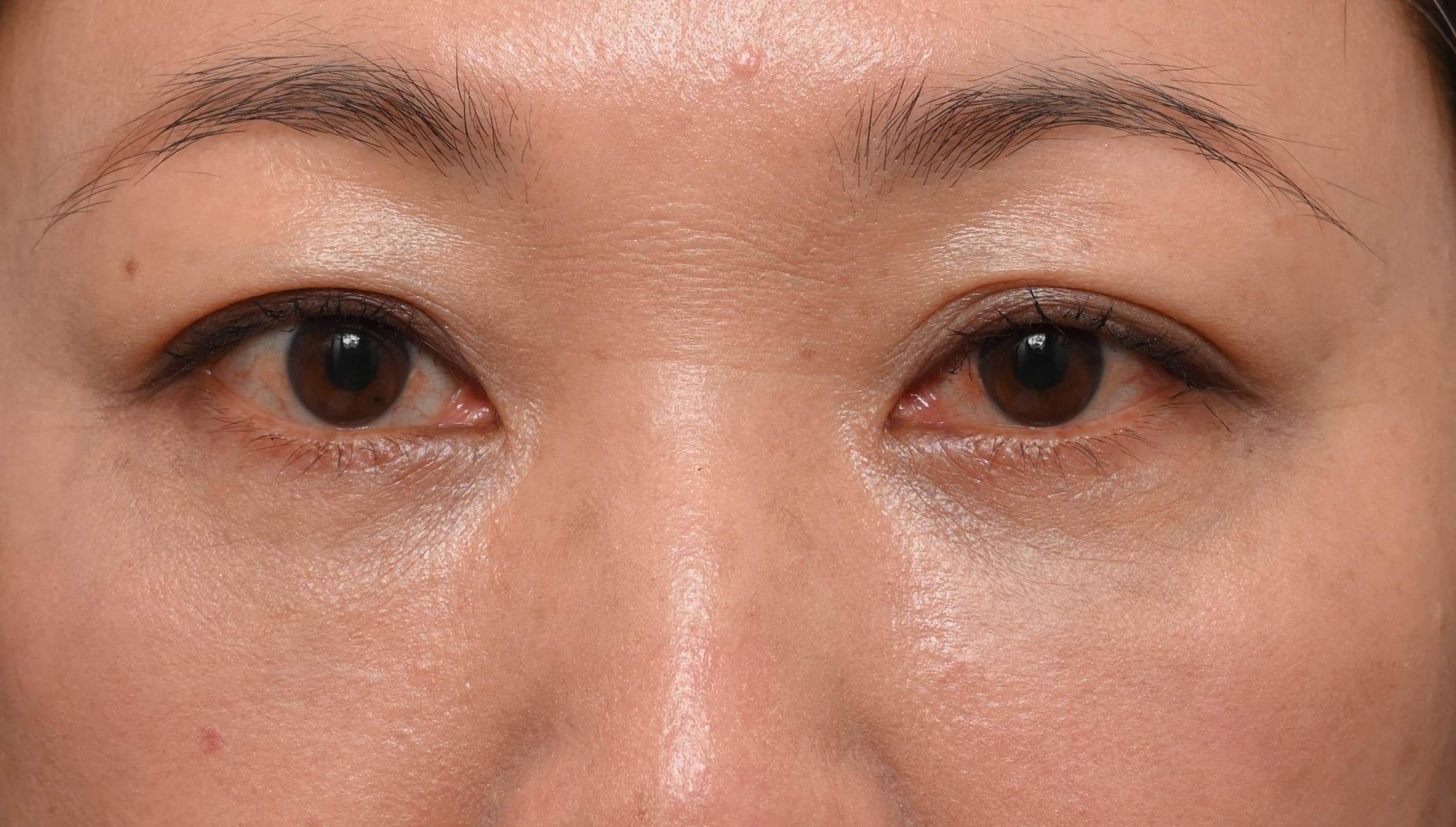
BEFORE

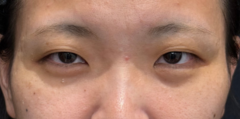
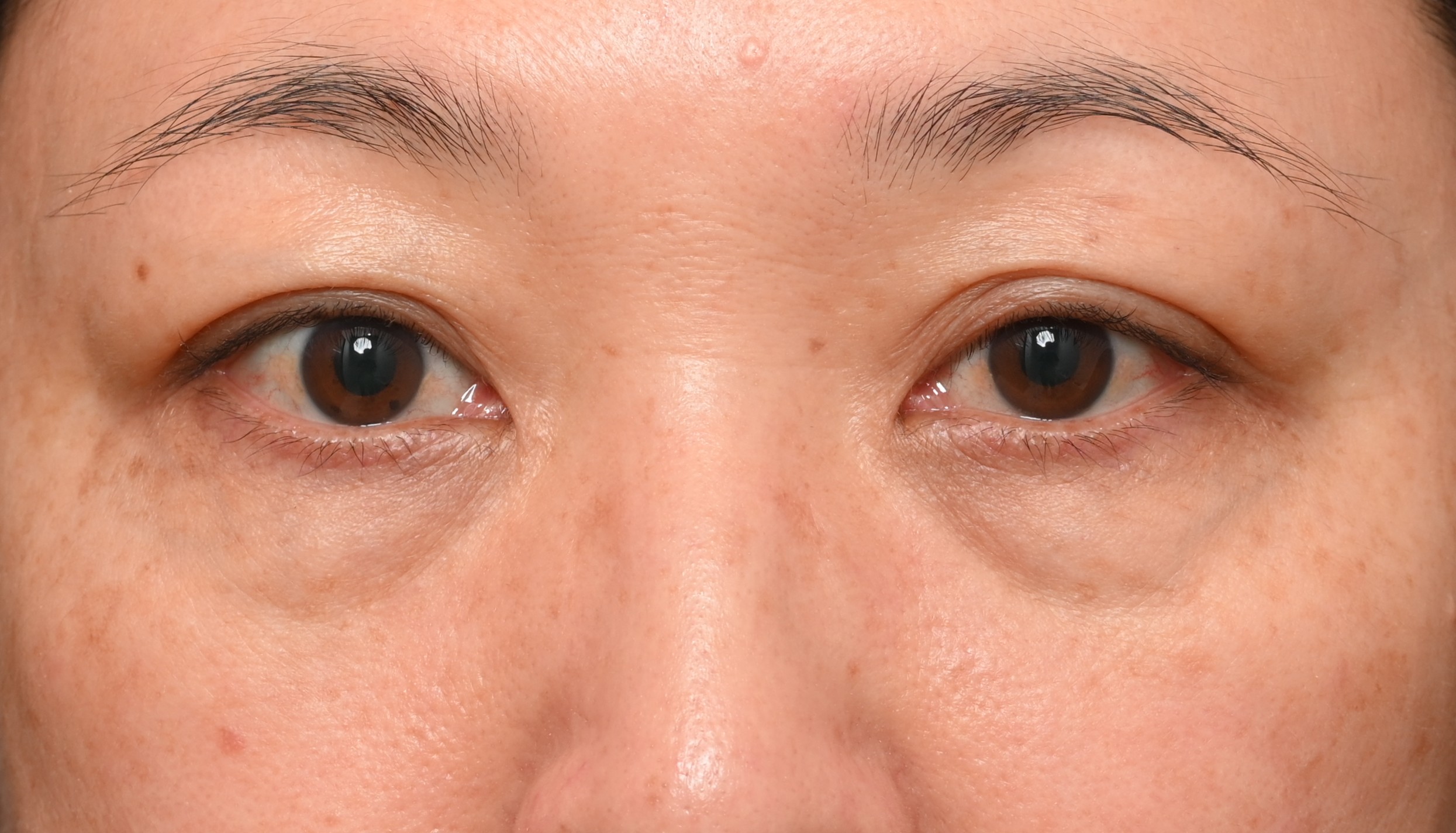
AFTER
- 施術内容
- 裏ハムラ
- 施術概要
-
ハムラ法/裏ハムラ法:目の下の膨らみ(baggy eyelids)を利用して凹み(tear trough)を均す治療です。
- リスク・
副作用 -
ハムラ法/裏ハムラ法:腫れ/赤み/内出血/感染/内反/外反/傷跡 など
- 費用
- 484,000円(税込)
- 年齢/性別
- 20代/女性
- 担当医
- 中村先生
-

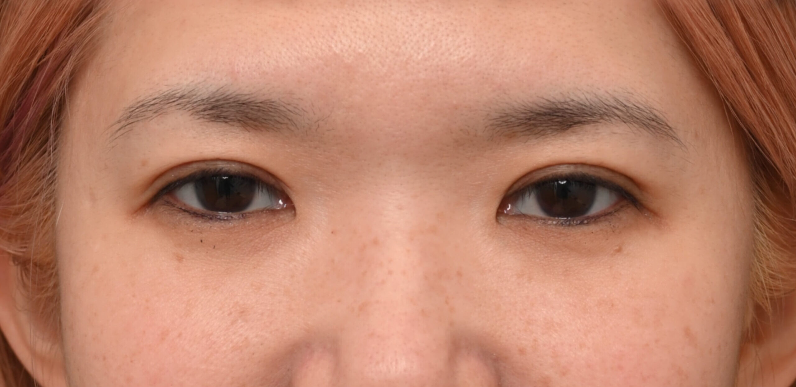
BEFORE

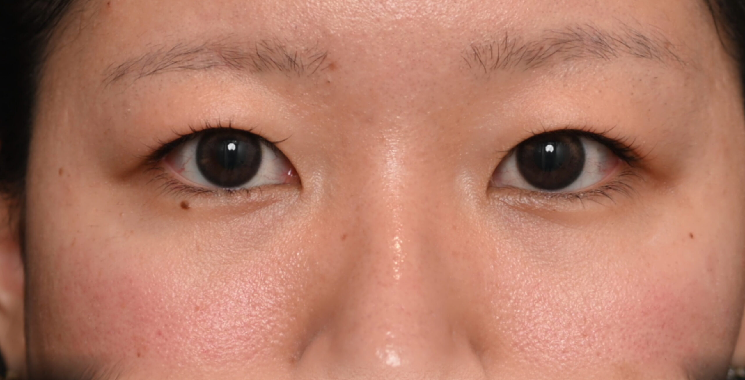
AFTER
- 施術内容
- 鼻中隔延長(耳介軟骨)+鼻翼縮小
- 施術概要
-
鼻中隔延長:耳介軟骨あるいは肋軟骨を利用して鼻中隔に移植して堅実な鼻中隔構造を再建します。鼻先にシャープさや高さを作ることが出来ます。
- リスク・
副作用 -
鼻中隔延長:腫れ/赤み/内出血/感染/左右差/歪み/鼻の穴の形が変わる など
- 費用
- 1,210,000円(税込)
- 年齢/性別
- 30代/女性
- 担当医
- 中村先生
-

BEFORE

AFTER
- 施術内容
- 挙筋前転(左目)/他院修正
- 施術概要
-
目元の修正手術:二重、目の開き、瞼のアーチなど眼瞼下垂手術や二重切開手術で不満足に終わった状態を整容的に改善させる手術です。
- リスク・
副作用 -
目元の修正手術:腫れ/赤み/内出血/感染/左右差/傷跡 など
- 費用
- 528,000円(税込)
- 年齢/性別
- 50代/女性
- 担当医
- 中村先生
-

BEFORE

AFTER
- 施術内容
- 保険治療/眼瞼下垂
- 施術概要
-
眼瞼下垂:瞼を開く筋肉の引き締め治療「挙筋前転」とたるんだ皮膚の処理「余剰皮膚切除」を症例ごとに適切に組み合わせ、瞼が開きやすい状態にします。
- リスク・
副作用 -
眼瞼下垂:腫れ/赤み/内出血/感染/左右差/二重の乱れ など
- 費用
- 45,200円(税込)
- 年齢/性別
- 年齢非公開/女性
- 担当医
- 中村先生
-

BEFORE

AFTER
- 施術内容
- 二重切開他院修正
- 施術概要
-
目元の修正手術:二重、目の開き、瞼のアーチなど眼瞼下垂手術や二重切開手術で不満足に終わった状態を整容的に改善させる手術です。
- リスク・
副作用 -
目元の修正手術:腫れ/赤み/内出血/感染/左右差/傷跡 など
- 費用
- 550,000円(税込)
- 年齢/性別
- 30代/女性
- 担当医
- 中村先生
-

BEFORE

AFTER
- 施術内容
- 二重切開(挙筋前転術)
- 施術概要
-
二重切開法:皮膚切開したのち内部処理を行うことで、取れない瞼を開けたときに引き込まれる天然の二重の構造を模した二重を作ります。
- リスク・
副作用 -
二重切開法:腫れ/内出血/感染/左右差など
- 費用
- 550000円(税込)
- 年齢/性別
- 30代/女性
- 担当医
- 中村先生
-

BEFORE

AFTER
- 施術内容
- 二重切開
- 施術概要
-
二重切開法:皮膚切開したのち内部処理を行うことで、取れない瞼を開けたときに引き込まれる天然の二重の構造を模した二重を作ります。
- リスク・
副作用 -
二重切開法:腫れ/内出血/感染/左右差など
- 費用
- 440,000円(税込)
- 年齢/性別
- 年齢非公開/女性
- 担当医
- 中村先生
-

BEFORE

AFTER
- 施術内容
- 二重埋没(多交差法)
- 施術概要
-
二重埋没法:二重のライン上に1ミリ程度の小穴をあけて手術用の糸を埋入し、二重の線を固定する施術です。
- リスク・
副作用 -
二重埋没法:腫れ/赤み/内出血/感染/糸玉が透けて見える など
- 費用
- 220,000円円(税込)
- 年齢/性別
- 20代/女性
- 担当医
- 中村先生
-

BEFORE

AFTER
- 施術内容
- 裏ハムラ法
- 施術概要
-
ハムラ法/裏ハムラ法:目の下の膨らみ(baggy eyelids)を利用して凹み(tear trough)を均す治療です。
- リスク・
副作用 -
ハムラ法/裏ハムラ法:腫れ/赤み/内出血/感染/内反/外反/傷跡 など
- 費用
- 484000円(税込)
- 年齢/性別
- 20代/女性
- 担当医
- 中村先生
-

BEFORE

AFTER
- 施術内容
- 裏ハムラ法
- 施術概要
-
ハムラ法/裏ハムラ法:目の下の膨らみ(baggy eyelids)を利用して凹み(tear trough)を均す治療です。
- リスク・
副作用 -
ハムラ法/裏ハムラ法:腫れ/赤み/内出血/感染/内反/外反/傷跡 など
- 費用
- 484000円(税込)
- 年齢/性別
- 20代/女性
- 担当医
- 中村先生